1. Describe a systematic approach to interpreting a chest radiograph (chest x-ray [CXR]. Common recommendations are to:
1. Begin with general characteristics such as the age, gender, size, and position of the patient.
2. Next examine the periphery of the film, including the bones, soft tissue, and pleura. Look for rib fractures, rib notching, bony metastases, shoulder dislocation, soft tissue masses, and pleural thickening.
3. Then evaluate the lung, looking for infiltrates, pulmonary nodules, and pleural effusions.
4. Finally, concentrate on the heart size and contour, mediastinal structures, hilum, and great vessels. Also note the presence of pacemakers and sternal wires.
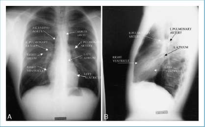
2. Identify the major cardiovascular structures that form the silhouette of the mediastinum. Right side: Ascending aorta, right pulmonary artery, right atrium, right ventricle
Left side: Aortic knob, left pulmonary artery, left atrial appendage, left ventricle
3. How is heart size measured on a chest radiograph?
Identification of cardiomegaly on a CXR is subjective, but if the heart size is equal to or greater than twice the size of the hemithorax, then it is enlarged. Remember that a film taken during expiration, in a supine position, or by a portable AP technique will make the heart appear larger.
4. What factors can affect heart size on the chest radiograph?
Size of the patient: Obesity decreases lung volumes and enlarges the appearance of the heart.
Degree of inspiration: Poor inspiration can make the heart appear larger.
Emphysema: Hyperinflation changes the configuration of the heart, making it appear smaller.
Contractility: Systole or diastole can make up to a 1.5-cm difference in heart size.
In addition, low heart rate and increased cardiac output lead to increased ventricular filling.
Chest configuration: Pectus excavatum can compress the heart and make it appear larger.
Patient positioning: The heart appears larger if the film is taken in a supine position.
Type of examination: On an anteroposterior (AP) projection, the heart is farther away from the film and closer to the camera. This creates greater beam divergence and the appearance of an increased heart size.
5. What additional items should be reviewed when examining a chest radiograph from the intensive care unit (ICU)? On portable cardiac care unit (CCU) and ICU radiographs, particular attention should be paid to:
Placement of the endotracheal tube
Central lines
Pulmonary arterial catheter
Pacing wires
Defibrillator pads
Intraaortic balloon pump
Feeding tubes
Chest tubes A careful inspection should be made for pneumothorax, subcutaneous emphysema, and other factors that may be related to instrumentation and mechanical ventilation.
6. How can one determine which cardiac chambers are enlarged?
Ventricular enlargement: usually displaces the lower heart border to the left and posteriorly. Distinguishing right ventricular (RV) from left ventricular (LV) enlargement requires evaluation of the outflow tracts. In RV enlargement the pulmonary arteries are often prominent and the aorta is diminutive. In LV enlargement the aorta is prominent and the pulmonary arteries are normal.
Left atrial (LA) enlargement: creates a convexity between the left pulmonary artery and the left ventricle on the frontal view. Also, a double density may be seen inferior to the carina. On the lateral view, LA enlargement displaces the descending left lower lobe bronchus posteriorly.
Right atrial enlargement: causes the lower right heart border to bulge outward to the right.
7. What are some of the common causes of chest pain that can be identified on a chest radiograph?
Aortic dissection
Pneumonia
Pneumothorax
Pulmonary embolism
Subcutaneous emphysema
Pericarditis (if a large pericardial effusion is suggested by the radiograph)
Esophageal rupture
Hiatal hernia All patients with chest pain should undergo a CXR even if the cause of the chest pain is suspected myocardial ischemia.
8. What are the causes of a widened mediastinium?
There are multiple potential causes of a widened mediastinum. Some of the most concerning causes of mediastinal widening include aortic dissection/rupture and mediastinal bleeding from chest trauma or misplaced central venous catheters. One of the most common causes of mediastinal widening is thoracic lipomatosis in an obese patient. Tumors should also be considered as a cause of a widened mediastinum—especially germ cell tumors, lymphoma, and thymomas. The mediastinum may also appear wider on a portable AP film compared with a standard posteroanterior/lateral chest radiograph.
9. What are the common radiographic signs of congestive heart failure?
Enlarged cardiac silhouette
Left atrial enlargement
Hilar fullness
Vascular redistribution
Linear interstitial opacities (Kerley’s lines)
Bilateral alveolar infiltrates
Pleural effusions (right greater than left)
10. What is vascular redistribution? When does it occur in congestive heart failure? Vascular redistribution occurs when the upper-lobe pulmonary arteries and veins become larger than the vessels in the lower lobes. The sign is most accurate if the upper lobe vessels are increased in diameter greater than 3 mm in the first intercostal interspace. It usually occurs at a pulmonary capillary occlusion pressure of 12–19 mm Hg. As the pulmonary capillary occlusion pressure rises above 19 mm Hg, interstitial edema develops with bronchial cuffing, Kerley’s B lines, and thickening of the lung fissures. Vascular redistribution to the upper lobes is probably most consistently seen in patients with chronic pulmonary venous hypertension (mitral valve disease, left ventricular dysfunction) because of the body’s attempt to maintain more normal blood flow and oxygenation in this area. Some authors believe that vascular redistribution is a cardinal feature of congestive heart failure, but it may be a particularly unhelpful sign in the ICU patient with acute congestive failure. In these patients, all the pulmonary arteries look enlarged, making it difficult to assess upper and lower vessel size. In addition, the film is often taken supine, which can enlarge the upper lobe pulmonary vessels because of stasis of blood flow and not true redistribution.
11. How does LV dysfunction and RV dysfunction lead to pleural effusions?
LV dysfunction causes increased hydrostatic pressures, which lead to interstitial edema and pleural effusions. Right pleural effusions are more common than left pleural effusions, but the majority are bilateral.
RV dysfunction leads to system venous hypertension, which inhibits normal reabsorption of pleural fluid into the parietal pleural lymphatics.
12. How helpful is the chest radiograph at identifying and characterizing a pericardial effusion?
The CXR is not sensitive for the detection of a pericardial effusion, and it may not be helpful in determining the extent of an effusion. Smaller pericardial effusions are difficult to detect on a CXR but can still cause tamponade physiology if fluid accumulation is rapid. A large hourglass cardiac silhouette, however, may suggest a large pericardial effusion. Distinguishing pericardial fluid from chamber enlargement is often difficult.
13. What are the characteristic radiographic findings of significant pulmonary hypertension?
Enlargement of the central pulmonary arteries with rapid tapering of the vessels is a characteristic finding in patients with pulmonary hypertension. If the right descending pulmonary artery is greater than 17 mm in transverse diameter, it is considered enlarged. Other findings of pulmonary hypertension include cardiac enlargement (particularly the right ventricle) and calcification of the pulmonary arteries. Pulmonary arterial calcification follows atheroma formation in the artery and represents a rare but specific radiographic finding of severe pulmonary hypertension.
14. What is Westermark’s sign?
Westermark’s sign is seen in patients with pulmonary embolism and represents an area of oligemia beyond the occluded pulmonary vessel. If pulmonary infarction results, a wedge-shaped infiltrate may be visible.
15. What is rib notching?
Rib notching is erosion of the inferior aspects of the ribs. It can be seen in some patients with coarctation of the aorta and results from a compensatory enlargement of the intercostal arteries as a means of increasing distal circulation. It is most commonly seen between the fourth and eighth ribs. It is important to recognize this life-saving finding because aortic coarctation is treatable with percutaneous or open surgical intervention.
16. What does the finding in Figur suggest?
The important finding in this figure is pericardial calcification. This can occur in diseases that affect the pericardium, such as tuberculosis. In a patient with signs and symptoms of heart failure, this finding would be highly suggestive of the diagnosis of constrictive pericarditis.
-1.jpg)
-2.jpg)
-3.jpg)
-4.jpg)
-5.jpg)
-6.jpg)
-7.jpg)
-8.jpg)
-9.jpg)